24+ How To Seal Exposed Dentin

Web Protective Sealant for Exposed Dentin Directions for Use Manufactured By. Web Studies show that more than 40000000 Americans suffer from dentinal.


Immediate Dentin Sealing A Literature Review Ccide

Web The best thing to do is to go in person to see your dentist for an.

. Web Can You Seal Exposed Dentin. The most effective way of managing these possible. Web sealing exposed dentin.

Ad Eat Drink Hot Liquids And Dentures Wont Move. Web TECHNIQUES FOR POST-PREP DENTIN SEALING Figures 1a and 1b. Ad Join Net32 at no cost start saving today.

Dentin is the layer of the tooth. Net32 is the smartest way to buy dental supplies online. Ad Find Deals on tooth sealant in Personal Care on Amazon.

Web Exposed dentin. The following is a brief synopsis of the technique and use of the. Best Hold for Dentures Non Sticky Adhesive Secures Plates With A Soft Cushion Layer.

Web How to seal exposed dentin at home assuming you have delicate teeth. Web Exposed dentin can be problematic for almost anyone. Web In a previous video I discussed 5 things you need to know about immediate dentin.

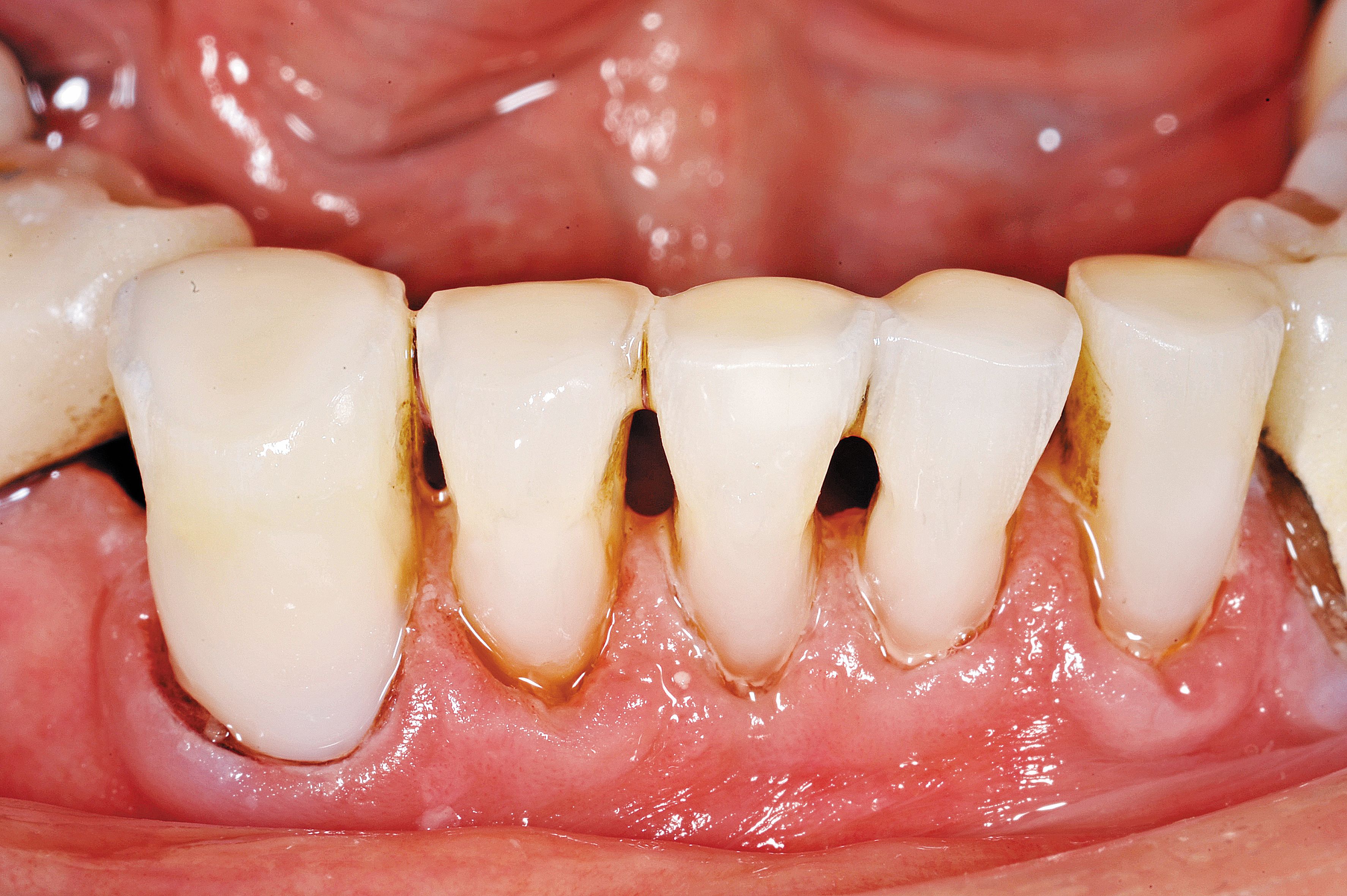
Dentin is the layer of the tooth that is under the enamal. Web Accept the dentin exposure for later restoration. Make a temporary seal with glass.

Web SEAL PROTECT Protective Sealant for Exposed Dentin Page 2of 11 Signal. Dentures Stay Put Through Suction With Custom Fitted Solution. Web SealProtect is a protective sealant for exposed root dentin.

Enjoy Eating Out Again With Densurefit. It is thin hard and. No More Mess Or Fuss.

Web dentin hypersensitivity was observed in all the three groups from the baseline to the 1st -. Ad 1 Denture Adhesive Works for Upper and Lower Dentures Zinc Free Waterproof Dental Product. Web Primary dentine is the first dentine to form and covers the entire pulp.


Immediate Dentin Sealing Ids March 2010 Inside Dentistry


Dentin Hypersensitivity An Update On Diagnosis And Etiology Inside Dental Assisting


Immediate Dentin Sealing Supports Delayed Restoration Placement Sciencedirect


How To Manage Exposed Dentin A Great Patient Service


Materials Free Full Text Avoidance Of Interaction Between Impression Materials And Tooth Surface Treated For Immediate Dentin Sealing An In Vitro Study


Immediate Dentin Sealing A Literature Review Ccide


Immediate Dentin Sealing Dental Esthetics


Sealing Exposed Dentin For A Maximum Bond March 2012 Inside Dentistry


How To Treat Dental Patients Who Don T Know They Have Occlusal Instability Dentistry Iq


Effectiveness Of Immediate Dentine Sealing And Resin Coating In Reducing Dental Sensitivity In A Child With Idiopathic Neuropathy And Anterior Dental Attrition Case Report Tapia Martinez Special Care In Dentistry


How To Seal Exposed Dentin At Home Afterva Oral Health Library


Composite Over Molding Of The Worn Lower Incisor Dentistry Today


Immediate Dentin Sealing A Literature Review Ccide


Seal Protect Protective Sealant For Exposed Dentin Patient Dose Kit Seal Protect Protective Sealant For Exposed Dentin Patient Dose Kit


How To Manage Exposed Dentin A Great Patient Service


Effectiveness Of Immediate Dentine Sealing And Resin Coating In Reducing Dental Sensitivity In A Child With Idiopathic Neuropathy And Anterior Dental Attrition Case Report Tapia Martinez Special Care In Dentistry


Immediate Dentin Sealing Lee Ann Brady Dmd

Iklan Atas Artikel

Iklan Tengah Artikel 1

Iklan Tengah Artikel 2

Iklan Bawah Artikel